vendredi 19 février 2016

Succion du pouce chez l'enfant : Conséquences et Traitement

Résultat de recherche d'images pour "succion de pouce pdf"

La succion de pouce comme nous avons 
déjà expliqué dans l'article précédent ( Succion de pouce chez l'enfant quand et comment intervenir) est une nécessité voire une source de plaisir et d'apaisement chez l'enfant.








Mais les parents doivent intervenir quand la succion "nécessité" devient une succion "habitude", parce qu'elle a des effets nocifs sur l'ensemble bucco-dentaire. comment ?

 voilà la réponse :


          Au niveau de la croissance de la face, le développement des mâchoires, et le positionnement des dents sont intimement liés au processus de croissance et de fonction des muscles, qu’ils soient de la face de la langue ou des lèvres, au repos ou en fonction.
Alors la croissance squelettique et alvéolo-dentaire se modèle avec les fonctions oro-faciales que ce soit celle de repos ou de fonctions : succion, déglutition, respiration, phonation et mastication.
           Dans cet article on s’intéressera seulement à la succion de pouce: 
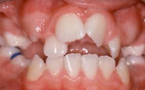
La succion persistante de pouce donne ce que l’on appelle une déglutition infantile : la langue adopte une position incorrecte, trop basse, au repos comme lors de la déglutition de la salive . Elle s’interpose en avant entre les dents du haut et celles du bas, ou vient pousser sur les incisives au lieu de monter s’appuyer au palais pour exercer une pression latérale nécessaire au développement transversal des mâchoires, cela cause une béance antérieure entre les dents du haut et les dents de bas.
La mandibule (mâchoire inférieure) est alors sous-développée de même que le maxillaire supérieur. Les dents du haut se trouvent projetées en avant et la lèvre inférieure tend à se positionner entre les deux arcades dentaires donnant à l’enfant une physionomie particulière (dents de lapin).

Résultat de recherche d'images pour "dent de lapin enfant"


Résultat de recherche d'images pour "béance antérieure"

   

La question qui se pose par les parents est ce que cette malocclusion est 

traitable ? 

  la réponse est : oui  

comment ? 

voilà la réponse :
Pour traiter ces types de malocclusion l'orthodontiste utilise 2 type de traitements :

  1. Traitement d'interception: 


Quelquefois un simple entretien attentif avec le patient est suffisant. La rééducation linguale peut être faite par l’orthodontiste ou un orthophoniste. Et pour supprimer la succion du pouce, il faudra créer entre le pouce et le palais un obstacle. Cet obstacle sera amovible ou fixe :

a- les plaques amovibles ou fonctionnelles ont une efficacité relative, il faut une bonne coopération et une bonne motivation.

               

  plaque amovible d'expansion                                                                    
                                                                                                                                       Appareil fonctionnel
 
        le quadhelix                                                                                                                                                                                                                             grille antipouce


b- L’enveloppe nocturne linguale de BONNET joue un rôle important, en obligeant le patient à ne plus sucer le pouce et à rééduquer la langue.


  L’enveloppe nocturne linguale de BONNET

     

 2. Traitement orthodontique multibague : 

Avec les moyens d'interception un traitement multibague est nécessaire pour corriger les malocclusion .

        Avant le traitement                                                                                                                                                                          Après le traitement 



Aucun commentaire:

Enregistrer un commentaire